سایت خبری
famaserver
  • صفحه نخست
  • تکنولوژی
  • علم و دانش
  • بازی
  • فناوری
  • اینترنت
  • موبایل
سایت خبری
برترین عناوین خبری
  • خرید بیمه: سنتی یا آنلاین؟ کدامیک تجربه بهتری برای مشتریان ایجاد می‌کند؟

سرتیتر خبرها

معرفی گیفت کارت آیتونز؛ کلید طلایی ورود به دنیای اپل

معرفی گیفت کارت آیتونز؛ کلید طلایی ورود به دنیای اپل

5 ماه پیش
با آیفون ۱۷ دیگر عکس‌های سلفی خراب نمی‌شود!

با آیفون ۱۷ دیگر عکس‌های سلفی خراب نمی‌شود!

8 ماه پیش
معیوب‌ترین گوشی‌های هوشمند جهان؛ آیفون و سامسونگ در میانه جدول خرابی

معیوب‌ترین گوشی‌های هوشمند جهان؛ آیفون و سامسونگ در میانه جدول خرابی

8 ماه پیش
جنجال خط و خش‌های آیفون ۱۷؛ اپل علت واقعی را توضیح داد

جنجال خط و خش‌های آیفون ۱۷؛ اپل علت واقعی را توضیح داد

8 ماه پیش
شارژ ۸۰ درصدی باتری: افسانه یا واقعیت؟ (تحلیل علمی)

شارژ ۸۰ درصدی باتری: افسانه یا واقعیت؟ (تحلیل علمی)

8 ماه پیش
آموزش: دلیل کند شدن و ری‌استارت مداوم گوشی‌های اندرویدی چیست؟

آموزش: دلیل کند شدن و ری‌استارت مداوم گوشی‌های اندرویدی چیست؟

8 ماه پیش
وان‌پلاس ۱۵: تاریخ عرضه جهانی و مشخصات فنی فاش شد

وان‌پلاس ۱۵: تاریخ عرضه جهانی و مشخصات فنی فاش شد

8 ماه پیش
قیمت مقرون به صرفه آیفون ۱۷ در آمریکا

قیمت مقرون به صرفه آیفون ۱۷ در آمریکا

8 ماه پیش
چرا باید حالت هواپیما را در گوشی فعال کنیم؟ مزایا و کاربردهای شگفت‌انگیز

چرا باید حالت هواپیما را در گوشی فعال کنیم؟ مزایا و کاربردهای شگفت‌انگیز

8 ماه پیش
کاهش 20 درصدی واردات تلفن همراه در 5 ماهه امسال

کاهش ۲۰ درصدی واردات تلفن همراه در ۵ ماهه امسال

8 ماه پیش

رمزگشایی از تغییرات مغز هنگام سردردهای میگرنی

زمان انتشار: 1 ژانویه 2023 ساعت 22:06

دسته بندی: علم و دانش

شناسه خبر: 482772

زمان مطالعه: 10 دقیقه

رمزگشایی از تغییرات مغز هنگام سردردهای میگرنی

رمزگشایی از تغییرات مغز هنگام سردردهای میگرنی

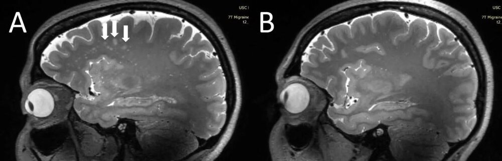
غزال زیاری: طبق گفته ویلسون ژو، کاندیدای دکترای پزشکی در دانشگاه کک کالیفورنیای جنوبی در لس‌آنجلس درباره مطالعه اخیرشان:« در افرادی که از میگرن مزمن (با میانگین بیش از ۱۵ بار میگرن در ماه) و میگرن اپیزودیک بدون هاله (با میانگین بین صفر تا ۱۴ سردرد در ماه) رنج می‌برند، تغییرات قابل توجهی در فضاهای اطراف عروق ناحیه‌ای مغز افراد به نام مرکز سِمی اوال (بخش مرکزی ماده سفید مغز) رویت شده است. این در حالی است که تا پیش از این، هرگز چنین تغییراتی رویت و گزارش نشده بود.»

فضاهای اطراف عروقی، فضاهایی در اطراف رگ‌های خونی مغز هستند که مملو از مایع خاصی هستند. این فضاها اکثرا در بین بخش غده‌های قاعده‌ای و ماده سفید مغز و در امتداد اعصاب شبکه بینایی قرار دارند. فضاهای اطراف عروقی تحت تاثیر عوامل متعدی از جمله ناهنجاری‌ها در سد خونی مغزی و التهاب‌ها قرار می‌گیرند. در این بین، بزرگ شدن فضاهای اطراف عروقی ممکن است نشانه‌ای از بیماری زمینه‌ای عروق کوچک باشند.

دکتر ژو در این باره گفته:«فضاهای بین عروقی بخشی از سیستم پاکسازی مایع در مغز هستند و بررسی نحوه مشارکت این فضاها در بروز میگرن، به ما کمک خواهد کرد تا بهتر پیچیدگی‌های بروز میگرن را درک کنیم.»

ژو و همکارانش، به دنبال آن هستند تا ارتباط میان میگرن وبزرگ شدن فضاهای اطراف عروقی را درک کند. این محققان با بهره‌گیری از MRI ۷T با وضوح فوق‌العاده بالا، به مقایسه ساختاری تغییرات میکروواسکولار (رگ‌های خونی بسیار ریز) در انواع مختلف میگرن پرداختند. ژو در این رابطه گفت:« این اولین بررسی با استفاده از MRI با وضوح فوق‌العاده بالاست که در آن به بررسی تغییرات میکرو واسکولار مغز در پی بروز میگرن، به‌ویژه در فضاهای اطراف عروقی پرداخته می‌شود. از آنجا که MRI ۷T قادر است تا تصاویری با وضوح و با کیفیت به مراتب بالاتری نسبت به دیگر دستگاه‌های MRI از مغز ارائه دهد، می‌توان از این دستگاه برای تشخیص تغییرات جزئی‌تر و ریزتری که بعد از بروز میگرن در بافت مغز ایجاد می‌شود، بهره برد.»

رمزگشایی از تغییرات مغز هنگام سردردهای میگرنی

شرکت‌کنندگان در این مطالعه، شامل ۱۰ نفر با میگرن مزمن و ۱۰ نفر با میگرن اپیزودیک بدون هاله و ۵ فرد سالم بودند. تمام این افراد، بین ۲۵ تا ۶۰ سال سن داشتند و افراد مبتلا به اختلالات شناختی آشکار، تومور مغزی، سابقه جراحی جمجمه، موارد منع شده از انجام MRI و مبتلا به بیماری کلاستروفوبیا از این مطالعه کنار گذاشته شدند.

محققان، در جریان این بررسی فضاهای بزرگ شده اطراف عروقی را در سنتروم سِمی اوال (بخش مرکزی ماده سفید مغز) و غده‌های قاعده‌ای را اندازه‌گیری کردند. افزایش و شدت ماده سفید مغز (ضایعه‌ای که در MRI به روشنی مشخص است) با بهره‌گیری از مقایس Fazekas اندازه‌گیری شد. خونریزی‌های میکروبلید مغزی (خونریزی‌های بسیار ریز در مغز) با خونریزی‌های میکروبلید در آناتومی بدن با مقیاس رتبه‌بندی، طبقه‌بندی شدند. محققان در عین حال داده‌های بالینی افراد از جمله دوره بیماری و شدت آن، نشانه‌ها و علائم در هنگام انجام اسکن و وجود هاله و منطقه سردرد فرد را نیز جمع‌آوری کردند.

تجزیه و تحلیل‌های آماری حکایت از آن داشت که تعداد فضاهای بزرگ شده اطراف عروقی در مرکز سِمی اوال مغز افراد، در بیمارانی که میگرن داشتند، به مراتب بیشتر از افراد سالم بود. به علاوه کمیت فضاهای بزرگ شده اطراف عروقی در مرکز سِمی اوال با عمق ماده سفید، از نظر شدت جدی بودن در بیماران میگرنی در ارتباط است.

ژو ادامه داد:« ما در تحقیقات درباره میگرن مزمن و میگرن اپیزودیک بدون هاله به این نتیجه رسیدیم که در هر دو دسته افراد مبتلا به این نوع میگرن‌ها، فضاهای اطراف عروقی در مرکز سِمی اوال بزرگتر بودند. اگرچه ما هیچ تغییر قابل توجهی در شدت ضایعات بخش سفید مغز در افراد مبتلا به میگرن و افراد بدون میگرن پیدا نکردیم، ولی این ضایعات بخش سفید مغز به طور قابل توجهی با وجود فضاهای بزرگ شده اطراف عروقی مرتبط بودند. این بدان معناست که تغییرات در فضای اطراف عروقی، ممکن است منجر به افزایش ضایعات بیشتری در بخش سفید مغز شوند.»

فرضیه این محققان این است که تغییرات قابل توجه در فضاهای اطراف عروقی در بیماران مبتلا به میگرن، در مقایسه با افراد سالم، ممکن است نشانه‌ای از اختلال گلیمفاتیک در مغز آنها باشد. سیستم گلیمفاتیک، در حقیقت نوعی سیستم پاکسازی مواد زاید است که از کانال‌های اطراف عروقی برای کمک به حذف پروتئین‌ها و متابولیت‌های محلول از سیستم عصبی مرکزی بدن بهره می‌برد.

البته اینکه آیا این تغییرات بر رشد میگرن تاثیرگذار هستند و یا ناشی از بروز میگرن هستند، هنوز مشخص نیست و تحقیقات باید بر روی جامعه آماری بیشتری انجام شده و در عین حال، افراد مورد مطالعه برای مدت طولانی‌تری مورد ارزیابی و بررسی قرار بگیرند تا بتوان ارتباط میان تغییرات ساختاری و ایجاد و نوع میگرن را بهتر دریافت.

ژو در ادامه گفت:«نتیجه تحقیقات ما ممکن است بر تحقیقاتی در ابعاد بزرگتر در آینده تاثیرگذار باشد تا بدین‌ترتیب بتوان در مورد اینکه چطور تغییرات در رگ‌های میکروسکوپیک مغز و همچنین نحوه خون‌رسانی، چطور بر انواع میگرن تاثیرگذار است به نتایجی رسید. در نهایت این می تواند به ما کمک کند تا به راهکارهای جدید و مشخصی برای تشخیص و درمان میگرن برسیم.»

منبع: سای‌تک‌دیلی

۵۸۵۸

حتما بخوانید : تغییری رادیکال در طراحی گوشی جدید سامسونگ

مجله خبری بیکینگ

برچسب ها
اخبار علمی
اشتراک گذاری

اخبار مرتبط

  • چرا قطار کمربند ایمنی ندارد؟
    چرا قطار کمربند ایمنی ندارد؟ 7 ماه پیش
  • آب رادیواکتیو؛ معجزه دروغینی که به جای شفا، استخوان‌ها را می‌خورد
    آب رادیواکتیو؛ معجزه دروغینی که به جای شفا، استخوان‌ها را می‌خورد 7 ماه پیش
  • چهره جدید ماشینی که قرار بود جایگزین پراید شود / عکس
    چهره جدید ماشینی که قرار بود جایگزین پراید شود / عکس 7 ماه پیش
  • راز جابه‌جایی ماهواره نظامی / چه کسی «اسکای‌نت-1A» را دزدید؟
    راز جابه‌جایی ماهواره نظامی / چه کسی «اسکای‌نت-1A» را دزدید؟ 7 ماه پیش

دیدگاه ها

دیدگاهتان را بنویسید لغو پاسخ

نشانی ایمیل شما منتشر نخواهد شد. بخش‌های موردنیاز علامت‌گذاری شده‌اند *

دسته بندی موضوعات

  • ارتباطات 160
  • امنیت 295
  • اینترنت 3435
  • بازی 8824
  • برنامه نویسی 34
  • تبلیغات 22
  • تکنولوژی 31916
  • دانش‌بنیان 1
  • رمز ارز 1252
  • سیستم عامل 237
  • شبکه اجتماعی 656
  • علم و دانش 14927
  • فناوری 7871
  • کاریکاتور 556
  • کسب و کار 708
  • موبایل 725
  • میزبانی وب 40
  • نرم افزار - سخت افزار 447

جدیدترین مقالات

  • گزینه‌های توسعه‌دهنده اندروید؛ تنظیمات پنهان برای افزایش سرعت گوشی
    گزینه‌های توسعه‌دهنده اندروید؛ تنظیمات پنهان برای افزایش سرعت گوشی 3 ماه پیش
  • iOS 26.3 منتشر شد؛ ۶ قابلیت جدید برای آیفون
    iOS 26.3 منتشر شد؛ ۶ قابلیت جدید برای آیفون 3 ماه پیش
  • اندروید ۱۷ بتا منتشر شد؛ تمرکز ویژه بر گوشی‌های تاشو
    اندروید ۱۷ بتا منتشر شد؛ تمرکز ویژه بر گوشی‌های تاشو 3 ماه پیش
  • رازهای اندروید؛ قابلیت‌هایی که استفاده از گوشی را ساده‌تر می‌کنند
    رازهای اندروید؛ قابلیت‌هایی که استفاده از گوشی را ساده‌تر می‌کنند 3 ماه پیش
  • بازگشت قابلیت جابه‌جایی نوار وظیفه به ویندوز ۱۱
    بازگشت قابلیت جابه‌جایی نوار وظیفه به ویندوز ۱۱ 3 ماه پیش

لینکهای پیشنهادی

سرور مجازی | خرید هاست | دانلود نرم افزار | کلاس آنلاین | رپورتاژ خارجی

میزبانی در هاست ویندوز فاماسرور